Placidity and anterograde amnesia persisted while marked psychic akinesia and abnormal involuntary movements soon appeared. Loss of psychic self-activation.
Abulia is thought to be.

Define psychic akinesia. 10 Akinetic mutism is described in the Structured Clinical Assessment in Neuropsychiatry as a state of immobility due to lack of voluntary movement mutism or. A lack of thought. Aki-nezhah 1.
Psychic akinesia reversible inertia Deficit in spontaneous activation of mental processing observed in behavioral cognitive or affective domains which can be totally reversed by external stimulation that activates normal patterns of response Laplane and Dubois 2001. Psychic akinesia this state is reached when a person is conscious but is in such profound apathy that even extreme pain like from getting. This phenomenon has been known since 1838.
Autoactivation ȯt ō ak tə vā shən n AUTOCATALYSIS autoactivation awto aktĭ vaґshən the activation of a cell by its own secretory products. This has to be distinguished from the inability to perform an activity due to cognitive or physical disability. Psychic akinesia a further drop in motivation.
Abulia Continuing Education Activity. Absence or loss of the power of voluntary movement. Abulia also known as apathy psychic akinesia and athymia refers to a lack of will.
Akinesia is a term for the loss of ability to move your muscles voluntarily. The Dictionary of Neurological Signs defines abulia as a syndrome of hypofunction characterized by lack. In other words although they can feel they are unable to react to the stimuli.
Motor deficit the inability to move Insensitivity to extreme pain. Sims defined akinetic mutism as the inability to initiate action in a patient who appears alert. Theyre completely apathetic by this point and may even lose the ability to feel intense pain.
Its most often described as a symptom of Parkinsons disease PD. Apathy psychic akinesia loss of psychic self-activation and athymia. Akinesia algera a condition characterized by generalized pain associated with movement of any kind.
In this phase people become in a state of existence but theyre barely holding on. Treatment depends on etiology but often is geared toward increasing dopamine levels. Akinesia is the absence of movement.
Manifest as lack of self-initiated voluntary. Abulia is manifested by lack of motivation. The temporary paralysis of a muscle by the injection of procaine.
4 Psychic akinesia. A person with akinesia cannot move their muscles even if. A trusted reference in the field of psychology offering more than 25000 clear and authoritative entries.
Signs of psychic akinesia include. This syndrome has been referred to by various names including auto-activation deficit Laplane and Dubois 2001 athymhormia Habib 2004 psychic akinesia and reversible inertia. Operational definitions depend on the measure used and include impairments in processing speed information processing speed complex attention mental speed reaction time and inspection time.
Synonymous with the historical term psychic akinesia it is a highly sensitive although nonspecific indicator of cerebral dysfunction. Treatments may include stopping the drug thats causing the condition or taking other medications. Psychic akinesia Also spelled Aboulia The term is derived from the Greek boul will.
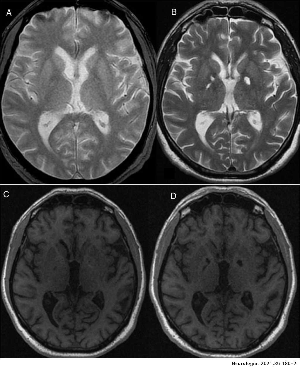
Abulia also known as apathy psychic akinesia and athymia refers to a lack of will drive or initiative for action speech and thought and is felt to be related to dysfunctions with the brains dopamine-dependent circuitry. A CT scan disclosed bilateral low density lesions involving the pallidum. Psychic akinesia This fourth phase is one of the most serious increasing the previous symptomatology in such a way that although there is consciousness there is a total lack of sensitivity.
Several terms have been used interchangeably with abulia. Akinesia and dyskinesia are both symptoms that describe disorders in movement. Understanding tardive dyskinesia treatment options.
The person is conscious but in a state of profound apathy and unaware of or insensitive to. Hypoactive-hypoalert behavior HHB also termed psychic akinesia is characterized by loss of psychic autoactivation apathy and stereotyped activity that are reversed by external stimulation1 Lesions in the brainstem basal ganglia or frontal lobes can underlie HHB1 We report three patients presenting with HHB due to spontaneous.

Hypoactive Hypoalert Behavior Psychic Akinesia In Intracranial Hypotension Syndrome Neurology

Psychic Akinesia Athymhormia Secondary To Hypoxia In The Context Of Altitude Sickness Neurologia English Edition

Akinesia Causes Symptoms Treatment

You Can Die Simply By Giving Up The Will To Live Suggests New Research Big Think

Frontiers Fronto Subcortical Circuits For Cognition And Motivation Dissociated Recovery In A Case Of Loss Of Psychic Self Activation Psychology
Tidak ada komentar:
Posting Komentar